Healthy gums play a critical role in maintaining strong teeth and overall oral health. Yet many people overlook early signs of gum disease, often dismissing symptoms such as redness, swelling or bleeding during brushing. Dental experts warn that these could indicate gingivitis the earliest stage of gum disease.
The condition is both preventable and reversible when addressed promptly, making early awareness and care essential.
What is gingivitis?
Gingivitis is a mild form of gum disease caused by the buildup of plaque along the gumline. Plaque is a sticky film of bacteria that forms on teeth when oral hygiene is not properly maintained.
If left untreated, gingivitis can progress into periodontitis a more severe condition that may damage the supporting structures of the teeth and, in advanced cases, lead to tooth loss.
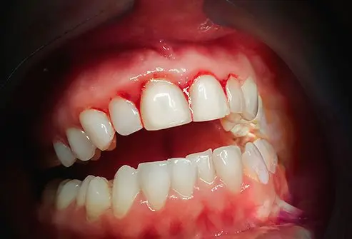
Common signs and symptoms
Recognizing gingivitis early can help prevent long-term complications. Common symptoms include:
- Red, swollen or tender gums
- Bleeding during brushing or flossing
- Persistent bad breath
- Receding gums
- Increased gum sensitivity
Health professionals advise seeking dental evaluation if these symptoms persist.
Causes and risk factors
Several factors can contribute to the development of gingivitis, including:
- Poor oral hygiene habits
- Plaque and tartar buildup
- Smoking or tobacco use
- Hormonal changes, particularly during pregnancy or puberty
- Certain medications
- Underlying health conditions
Understanding these risk factors can help individuals take preventive steps and reduce recurrence.
Why early treatment matters
Ignoring early gum symptoms can allow the condition to worsen over time. Timely intervention helps:
- Reverse inflammation of the gums
- Prevent progression to more severe gum disease
- Protect teeth and supporting bone structures
- Improve overall oral hygiene
Experts emphasize that early care is often simpler, less invasive and more effective than treating advanced stages.
Treatment options
Gingivitis can typically be managed through a combination of professional care and improved daily habits. Common approaches include:
Professional dental cleaning
A thorough cleaning removes plaque and tartar that cannot be eliminated through regular brushing alone.
Improved oral hygiene
Brushing twice daily, flossing regularly and using antibacterial mouthwash can significantly improve gum health.
Scaling and root planing
In more advanced cases, deep cleaning procedures remove bacteria from below the gumline and smooth tooth surfaces to promote healing.
Medications
Dentists may recommend medicated rinses or antibiotics to control infection when necessary.
Lifestyle adjustments
Quitting smoking, maintaining a balanced diet and managing stress can support long-term gum health.
Preventing gingivitis
Prevention remains the most effective approach to gum health. Experts recommend:
- Maintaining a consistent oral hygiene routine
- Scheduling regular dental check-ups
- Limiting sugary foods and drinks
- Staying hydrated
- Using proper brushing and flossing techniques
Recovery and outlook
The timeline for recovery depends on the severity of the condition. Mild cases may improve within a few weeks with consistent care, while more advanced cases may require ongoing treatment and monitoring.
Final word
Although gingivitis is often considered a minor condition, it can lead to serious complications if left untreated. With early detection, proper hygiene and routine dental care, it remains one of the most manageable and reversible oral health issues.




